VIEW OUR PRIOR WORK

learn more arrow
learn more arrow
learn morearrow

radiology

separator
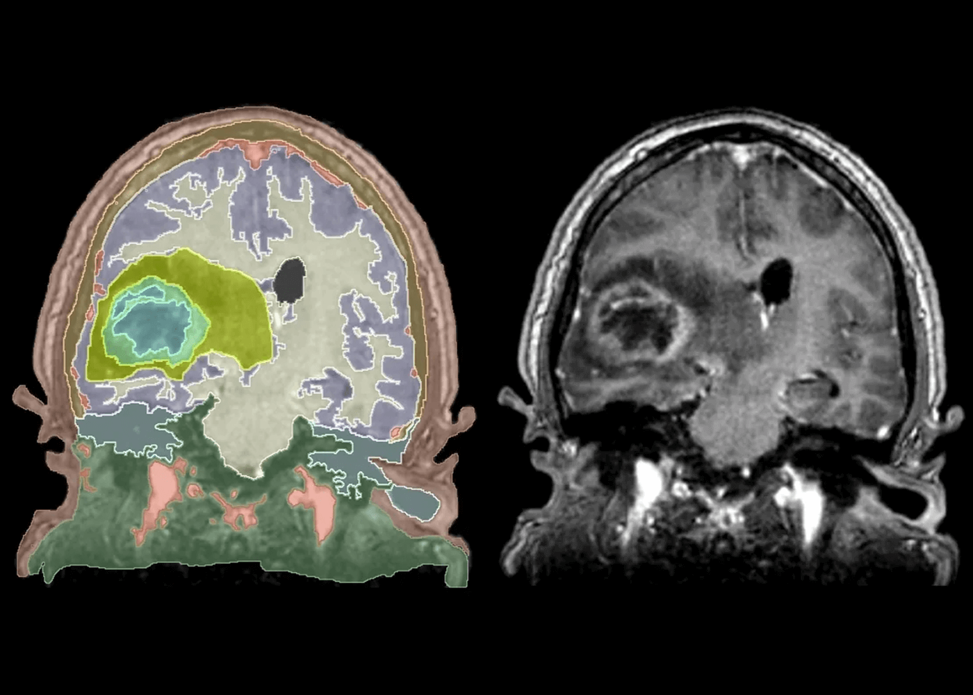
Vessel and Brain tumor segmentation
Chest X-ray pathologies box-labeling
Pulmonary trunk and arteries segmentation
Aorta and all its branches segmentation
Coronary arteries segmentation with wall plaques analysis
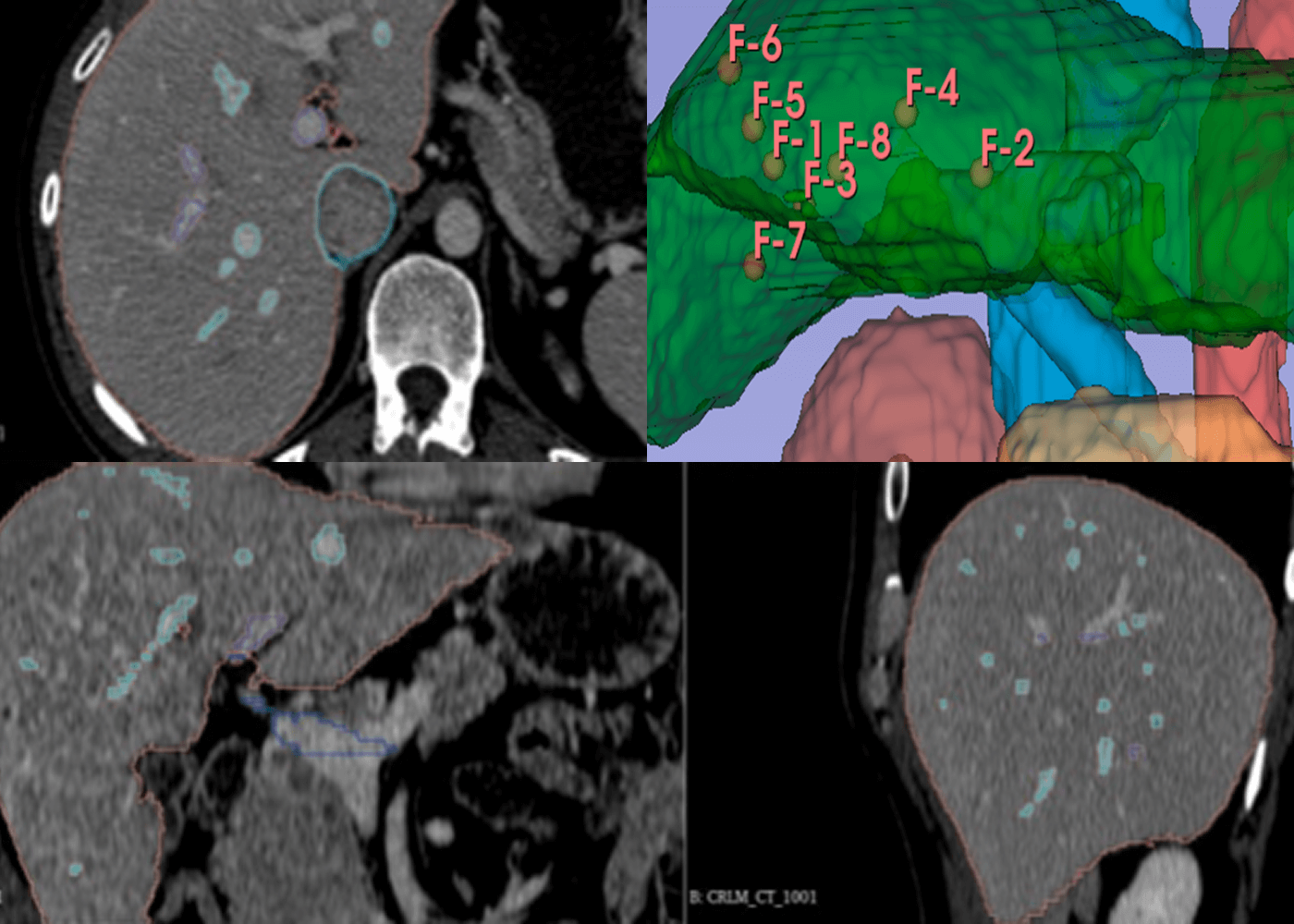
Liver with pixel perfect segmentationand point markups
Dental cone beam CT structures segmentation
Brain tumor and anatomical structures segmentation
Abdomen ultrasound segmentation

..also our 3D rendering work

Brain Tumor: radiology labeling on 3D Slicer

Abdominal organs segmentation: radiology labeling on 3D Slicer

pathology

separator
Annotation of Prostate cancer according to Gleason Grading System (Qupath) - (First page)
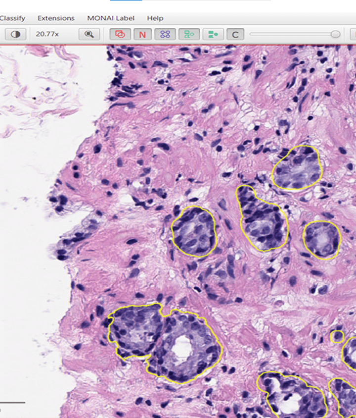
Tumor annotation on WSI H&E with Qupath platform(Breast Carcinoma)
Example of Normal Prostate Glands Annotations
Analysis of Immune tumor microenvironment
Detection of different histological patterns on WSI H&E with Cell Classifier Training (Colorectal Adenocarcinoma)
UDT (Universal Data Tool )
Mask of different cell types with selection of correct labels
Magnification of UDT slide
Analysis of IHC expressions with Qupath training
Automatic detection of IHC staining (specific/unspecific, nuclear/membrane, true/false positive, true/false negative etc)

Data scientists and software engineers

separator

We have a team of experienced software engineers who can develop programs to better use your imaging data. Our data scientists can do API integration, integration of ChatGPT with 3D Slicer, and stand-alone ChatGPT programs.

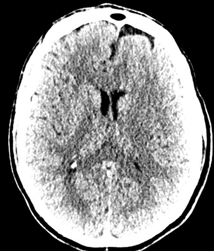
datascientists before

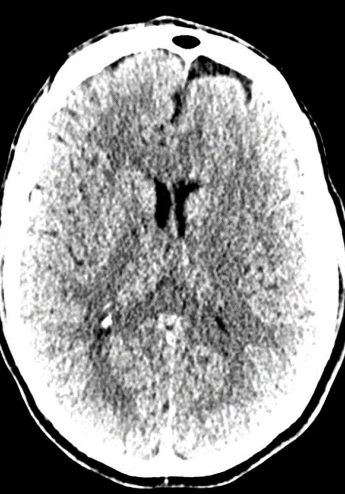
Before: "fuzzy" head CT

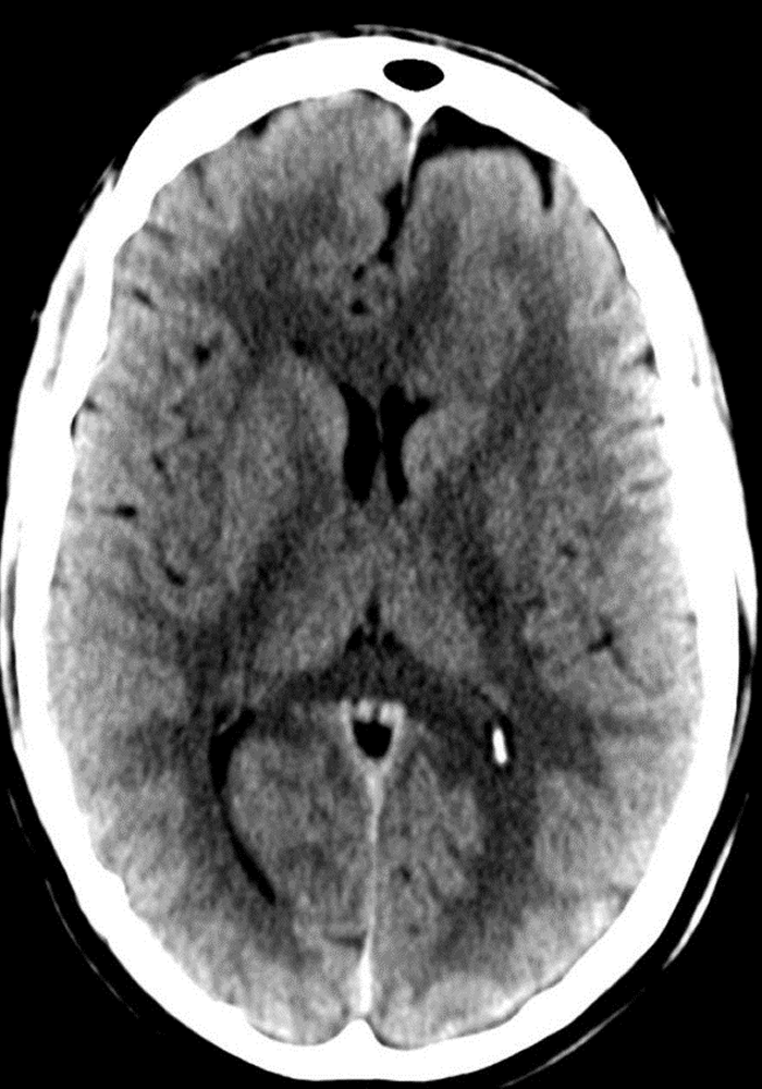
datascientists after

After: detailed images

Our V Star computer scientists wrote a module for 3D-Slicer allowing careful alignment and summation from 8 prior CT scans obtained over a course of several years. This improved image contrast resolution without loss of spatial resolution

Get in touch today

Let us tailor a service package that meets your needs. Tell us a little about your business, and we will get back to you with some ideas as soon as possible.

contact us

designed by @hopemsd

development by @blin4ik112